Cytotoxicity and genotoxicity in water of the Subaé River (Humildes, Bahia, Brazil) using Allium cepa L. as a bioindicator
Keywords:
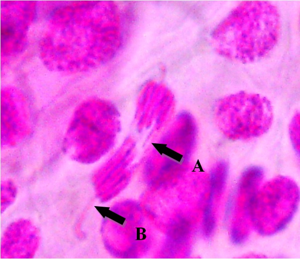
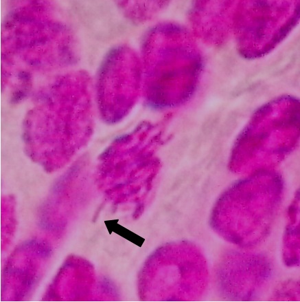
chromosomal abnormalities, ecotoxicology, environmental monitoring, mitotic index
Abstract
Over the years, the Subaé River in Bahia has been polluted by the discharge of toxic industrial waste into its waters. This study used the Allium cepa test to investigate the cytotoxic and genotoxic effects caused by the river water that that runs through the city of Humildes-BA. Water samples were collected in three points (PI, PII and PIII) for physical and chemical analysis. Onions bulbs were immersed in triplicate water samples for 72 h to induce germination. The root tips were kept at 4 °C for 12-h, then fixed in Carnoy for 12-h and stained using the Feulgen technique. We analyzed 6500 cells of each treatment. Cytotoxicity was assessed by the mitotic index (MI) and genotoxicity by chromosomal abnormalities (CA). The tests revealed that PI and PIII had DO values, BOD5 and COD changed. The toxicity test indicated that root growth was inhibited by the water drawn from PI (10.3%) and PII (10.6%) compared to the negative control (11.9%). CAs were found in 6.2% of the cells relating to PI, 6.0% relating to PII, and 5.4% relating to PIII, respectively. These values were higher than those found in the positive control (3%), indicating a genotoxic effect at the points studied. From the results, it can be inferred that the waters of the Rio Subaé may contain substances that are probably affecting the cell cycle of A. cepa. It is important that other analyses be conducted in different seasons, in order to better monitor local environmental conditions.
Published
08/12/2014
Issue
Section
Papers
Authors maintain the copyrights for their work. However, they grant rights of first publication to Ambiente e Agua - An Interdisciplinary Journal of Applied Science. In compensation, the journal can transfer the copyrights, allowing non-commercial use of the article including the right of sending the article to other data bases or publication media. The journal uses the CC BY 4.0 license"

